Etiqueta: SALUD
La OMS propone más impuestos a las bebidas azucaradas y al...
Corresponsal de IPS
GINEBRA – La Organización Mundial de la Salud (OMS) ha planteado la necesidad de aumentar los impuestos a las bebidas azucaradas y...
Hospital de Animales vs Hospital Oncológico
Por Victoriano Rodríguez Santos
Economista, educador, máster en Recursos Humanos
Verdadera pena ajena es saber que tenemos un Órgano Ejecutivo que prefiere un Hospital de Animales...
Estudian en la UNNE el uso alternativo antidiabético a partir de...
Por Horacio Raúl Campos
Página 12 (Argentina)
La investigación está a cargo de un equipo de investigadoras del Instituto de Química Básica y Aplicada del Nordeste...
La OMS respalda el uso de medicamentos para bajar de peso
Corresponsal de IPS
GINEBRA – La Organización Mundial de la Salud (OMS) ha publicado su primera guía sobre el uso de una nueva clase de...
Universidad de Panamá se suma a investigación internacional sobre las causas...
(Nota informativa de la UP)
Científicos de la Universidad de Panamá integran el equipo internacional que busca esclarecer las causas de la Enfermedad Renal Crónica...
Peces guppy: alternativa biológica para combatir a los mosquitos transmisores de...
Agencia de Noticias Univalle
La Secretaría Distrital de Salud de Cali y la Universidad del Valle, en Colombia, han consolidado una alianza estratégica para combatir...
Motivos para celebrar el Día Internacional de las Personas Mayores
Por Argénida de Barrios
Psicóloga
¡Porque no tenemos la edad de nuestras arterias, si no, ¡la de nuestras ganas de vivir!
Me siento honrada, porque se me...
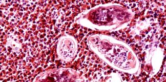
La amenaza de los gusanos de la esquistosomiasis, la enfermedad emergente...
Por Cristina G. Lucio | Madrid
El Mundo
Exterior. Almería. Tarde de un día soleado. Cinco jóvenes se bañan en una balsa después de un duro...
Cinta Chocolate defiende anteproyecto para tipificar la mala praxis médica
Por Adolfo Berríos Riaño
La Estrella de Panamá
La Cinta Chocolate, una organización de víctimas y sobrevivientes de mala praxis, responde a las críticas contra el...
La vida a un nuevo compás: el DAV más pequeño del...
Por Cindy Paola Gómez
Agencia de Noticias Univalle
Por primera vez en América, un equipo de especialistas del HIC Instituto Cardiovascular implantó el corazón artificial más...
ANTECOVE anuncia paralización de labores en el Ministerio de Salud
(Redacción de Bayano digital)
La Asociación Nacional de Técnicos en Control de Vectores (ANTECOVE) informó que el jueves 7 de agosto será iniciado un paro...
Araceli Julio: la voz que la motosierra del poder de Milei...
Por Rogelio Mata Grau
Docente e investigador social
La historia de Araceli Julio, vocalista del grupo argentino de ska y reggae Satélite Kingston, conmueve más allá...
Cuestión de principios
Por Orestes Hernández
Corría el año 2003 (aproximadamente), un prominente político estadounidense visitó Cuba.. En aquella ocasión, se reunió con Fidel una madrugada en la...
Alianza Pueblo Unido por la Vida denuncia actitud cobarde de diputados
Bayano digital reproduce en esta sección el comunicado emitido por las organizaciones que integran la Alianza Pueblo Unido por la Vida en contra de...
La música puede reducir la angustia y la agitación de personas...
La Agencia de Servicios Informativos de Chiapas
Madrid. Un nuevo estudio de la Universidad Anglia Ruskin (ARU) de Cambridge (Reino Unido), publicado en la revista Nature Mental...
Los grandes retos políticos y sociales de los panameños
Por Rafael García Denvers
Coordinador de Vanguardia Torrijista (VT)
El año fenece. Debiéramos despedirlo con fiestas, ilusiones y expectativas de tiempos mejores, no con incertidumbre y...
Gran Marcha por la CSS
El Sindicato Único Nacional de Trabajadores de la Construcción y Similares (SUNTRACS) ha convocado este jueves, a las 4:00 p.m., una marcha desde la...
Cinco mentiras no piadosas sobre las reformas a la CSS propuestas...
Por Israel Gordón Canto
Economista, docente universitario y actuario
1- Primera falacia: “las causas de la crisis: proceso demográfico y expectativa. de vida”.
2- Segunda falacia: “la...
Insumos para el debate de la reforma a la Ley 51...
Por Antonio Saldaña
Abogado y analista político
El 6 de noviembre de 2024, será recordado como el día de la presentación, por parte del gobierno nacional,...
Volvió al país primer grupo de exFarc que estudió medicina en...
El Colombiano
El grupo de excombatientes y víctimas del conflicto que estudiaron becados en Cuba luego de la entrega de armas en 2017.
Tras siete años...



















